What is a wrist fracture?
The distal radius is the main bone of the forearm that meets the wrist. Fractures of the distal radius are the most common in the upper limb and are usually caused by a fall on an out-stretched hand
Wrist fractures often refer to a fracture or break of the distal radius. It can also involve a small fracture of the ulna styloid which is the skinny forearm bone in line with the little finger.
How do I know if I have broken my wrist?
Wrist fractures can develop bruising and swelling in the wrist and fingers and sometimes there is an obvious deformity in the wrist (dinner-fork deformity). An x-ray can often confirm the diagnosis. IN subtle or complete fractures, a CT scan may be required to confirm the diagnosis or help plan the treatment.
Fractures sometimes involve the joint surface (intra-articular) or break the bone outside the joint (extra-articular).
How is it treated?
The location of the fracture and the degree of deformity and displacement (shift of the bones) will determine whether surgery or simple immobilisation is recommended.
Splinting
If the radius joint surface is well aligned and the overall position of the fracture is acceptable then a cast or splint to immobilise and support the joint for a period of 6 weeks can achieve good outcomes without the risks of surgery. Patients over the age of 65 years also have been shown to do well without surgery even in some displaced fractures.(1)
Casts are made of plaster of paris or fibreglass and can be made waterproof, but are non-removeable splints.
Thermoplastic splints are fabricated by Hand therapists and are removable lightweight splints.
Surgery
If the joint surfaces are displaced and cause a step in the normally smooth cartilage surfaces, or if the bone alignment is not acceptable, then surgery is often recommended to avoid long term dysfunction.
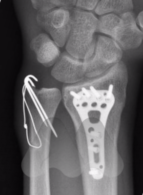
Surgery is normally performed under general anaesthetic as a day case admission into hospital. Surgical incisions are often made on the palm side of the wrist but additional incisions can also include the back or sides of the of the wrist, depending on the fracture.
Low profile titanium plates and screws are often used to secure the bone fragments in the correct position.


What to expect after wrist fracture surgery?
Dressings – The surgical wound is usually closed with a dissolvable stitch and the wrist is immobilised for 5-7 days in a plaster backslab. Keep the dressings clean and dry till review.
Immobilisation – At your first post-operative review most patients will be changed into a removable thermoplastic splint and start early movement and rehabilitation with the hand therapist.
Pain management – Swelling and pain is common following surgery. It is best managed with regular simple painkillers such as paracetamol and ibuprofen (if tolerated), ice to the wrist and elevation of the hand with regular finger movements. These simple measures will reduce swelling and decrease your need for stronger painkillers.
Hospital stay and recovery – You will usually return home on the day of surgery and have follow up of your wounds within 5-7 days in the specialist rooms with myself and my nurse. At 6 weeks you will be reviewed with an x-ray.
Return to activity – You can start to use your hand for light household activity when you feel comfortable. You should restrict any weight to less than 250g (can of soft drink) in the first 6 weeks. After 6 weeks if the fracture is healing well, you can expect to progress to lifting heavier weights and weaning out of the splint.
Driving – up to 6 weeks
Swimming – after 2 weeks
Office work – 2-6 weeks
Manual Labour – 6-12 weeks
Racquet sports – after 6 weeks
Contact sport – after 12 weeks
Risks of surgery
Specific risks of wrist fracture surgery include injury to:
- Nerves that supply sensation and strength to muscles of the hand
- Tendons which move the fingers. Injury can occur at the time of surgery or afterwards due to irritation from the plates and screws and stiffness of the wrist and fingers due to swelling and scarring.
- Skin healing can result in a thickened or sensitive scar.
- Joint surfaces can be damaged by perforating screws that can irritate the smooth cartilage surfaces.
Metalware in the wrist does not usually require removal unless it causes irritation to the surrounding tendons.