What is it?
Shoulder arthritis can develop in two main patterns, one where there is no known cause and secondly can be as a long term consequence of a torn rotator cuff resulting in rotator cuff arthropathy.
It can lead to pain, stiffness and sometimes a “creaking” or “crunching” in the movements of the shoulder.
What should I do about it?
The first step is to confirm the diagnosis with an examination from your doctor and plain x-rays.
Initial management of early arthritis is centred around simple measures:
- Education about the cause of pain and it’s expected course which can be variable from days to day and month to month in the early stages
- Simple painkillers when required such as paracetamol or an anti-inflammatory (if tolerated)
- Cortisone injections or hydrodilatation procedures can be helpful in some cases
- Regular exercise or physiotherapy to help keep the muscles strong
If these measures fail to relieve pain and is affecting sleep and simple daily activity, then shoulder replacement offers good long term outcomes in selected patients.
Treatment Options Include
Anatomic total shoulder replacement replaces the ball and socket in their usual position. The bone and cartilage surfaces are removed and replaced with metal, plastic, ceramic or pyrocarbon surfaces. This provides pain free restoration of movement in most cases.
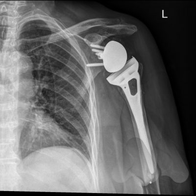
Reverse Total Shoulder Replacement replaces the ball and socket in a reverse configuration. This is where the artificial ball is attached to the shoulder blade and the socket is positioned onto the top of the arm. Reversing the joint parts allows the deltoid muscle to now drive shoulder movement and take over the role of the torn rotator cuff.
Which treatment is the best?
Aims of treatment are directed at improving your pain to allow you to live and work. No treatment can reverse or halt the progression of arthritis. Non-surgical treatments are aimed at addressing your symptoms with minimal risks.
Treatment outcomes of shoulder joint replacement are generally measured by the durability of the joint replacement and avoiding the need to have any further surgery to the shoulder for any reason.


