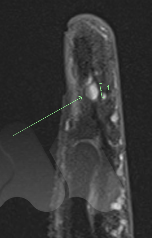
What is a glomus tumour?
This is a rare benign (non-cancerous) growth often under the fingernail or fingertip pulp and can involve bone.
How do I know if I have a glomus tumour?
It commonly causes severe pain in the fingertip in cold environments and extreme pain and sensitivity to touch. X-Ray and MRI can be useful tests in confirming the diagnosis.
Special clinical tests for glomus tumours
Test
Love’s pin test
Hildreth’s test
Cold insensitivity test
Transillumination test
Description
Pin head pressure applied to lesion causes equisite pain
Arm tourniquet relieves pain in fingertip
Ice cube placed on lesion causes increase in pain
Sensitivity
100%
100%
100%
Specificity
78%
71.4%
100%
How can it be treated?
Glomus tumours can be treated with surgical excision. Surgery can often be performed under local anaesthetic as a day case admission into hospital.
If the glomus tumour is under the nail, the nail requires surgical removal and an incision made in the nail bed to remove the tumour.
What are the risks of surgery?
- Recurrence – Glomus tumours can come back in up to 20% of cases, most commonly because of incomplete excision.
- Persistent pain – If there are satellite lesions (other glomus tumour sites), pain may persist after surgery.
- Nail damage – If the glomus tumour is underneath the nail, the nailbed (cells that support the normal nail), has to be split and repaired. Sometimes this can cause ridging or splitting of the nail as the nail regrows.



