What is it?
Elbow osteoarthritis is a degenerative joint disease where the smooth cartilage covering the bone ends, wear out, causing pain and stiffness. It can affect younger patients where a previous traumatic injury can lead to either ligamentous instability, severe scarring in the joint or cartilage injury and lead to progressive stiffness around the elbow which may or may not be accompanied by pain.
What should I do about it?
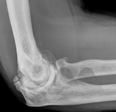
Elbow stiffness
In cases where the main complaint is stiffness in the elbow, common activities like shaving, getting to the back of the head and face become difficult. X-Rays are a simple scan that can confirm extra bone formation in the joint which may be blocking movement. In these situations, a keyhole operation (arthroscopy) can be performed to remove loose fragments of bone, remove extra bone and release the tight capsule that surrounds the joint.
Elbow pain
Pain in the elbow can relate to the inflammation of the joint lining (synovitis) that accompanies osteoarthritis or impingement related pain at the end ranges of movement where bone fragments can jam between the joint surfaces. If loose bodies are present in the joint, these can float around freely and intermittently cause jamming of the moving parts like a loose stone in a motor. Depending on the cause of pain, the treatment can be directed at reducing the inflammation with oral anti-inflammatories or corticosteroid injections to the joint. Surgical treatments include arthroscopic or open debridement of the joint to remove extra or loose fragments of bone that are impinging. If there is extensive joint involvement and these simple measures fail to relieve pain then a Total Elbow Replacement can provide good pain relief whilst maintaining movement.
Treatment Options Include
Elbow arthroscopic procedures
This is an effective technique in addressing multiple causes of early arthritic pain and stiffness in the elbow. Surgery is normally performed under general anaesthetic or regional block and involves a day or overnight stay in hospital. Normally 6 small < 1cm incisions are made around the elbow to access the three main areas of the elbow joint (Anterior and posterior compartments and radiocapitellar joint). After surgery, you may be placed in a bandage or half plaster backslab depending on the type of surgery performed. Most arthroscopic surgeries are designed to allow you to move shortly after the operation, within 1-2 days to optimise your ability to regain motion.
Specific risks of elbow arthroscopy include injury to the nerves that supply the skin around the elbow and forearm that can cause a sensitive scar and risk of infection. Less common but serious risks include injury to the main nerves (radial and ulnar nerve) that supply the muscles that move the fingers and wrist. Overall complications for elbow arthroscopic procedures are less than 2%.
Total Elbow Replacement (TER)
TER has been used to treat patients with Rheumatoid arthritis in the past. As the medical management of Rheumatoid arthritis has improved over the last few decades, we have seen an overall reduction in patients requiring joint replacement. Patients with osteoarthritis or post-trauma now form an increasingly larger number of patients having TER, forming 70% of TER’s performed in Australia in 2019. The procedure involves removing the damaged joint surfaces and replacing the joint and inserting stems into the bone which are secured with cement. Overall 10 year survival in is 80-90%.
Specific risks of Total Elbow Replacement include, infection, fracture, nerve injury, loosening and dislocation.









