What is it?
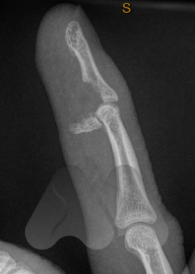
A jersey finger is when the flexor tendon that bends the fingertip, pulls off the bone, you may feel a “pop”. It is often caused by a forced and rapid extension of a clenched hand. It results in sudden pain and an inability to bend the fingertip and can cause bruising, pain and swelling down the length of the finger.
Treatment
Treatment is time critical and you should see your doctor to organise an ultrasound of the finger and a referral to a hand surgeon within 1 week of injury. This condition requires surgery to reattach the flexor tendon. If there is a delay in diagnosis, the tendon may not be able to be repaired and other more complex reconstructive surgeries may be required.
Risks of surgery
Complications that can arise from the injury and surgery are:
- Digital nerve or artery injury
- Failure of the repair
- Stiffness in the finger
Rehabilitation
Following surgery, you will require intensive hand therapy to guide a home exercise program and a splint to be worn for 6-8 weeks, to protect the repair and get the best return of functional outcome from your finger and hand.

